Research
Current Projects
Functions of the inner membrane complex
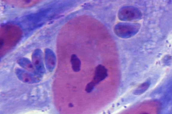
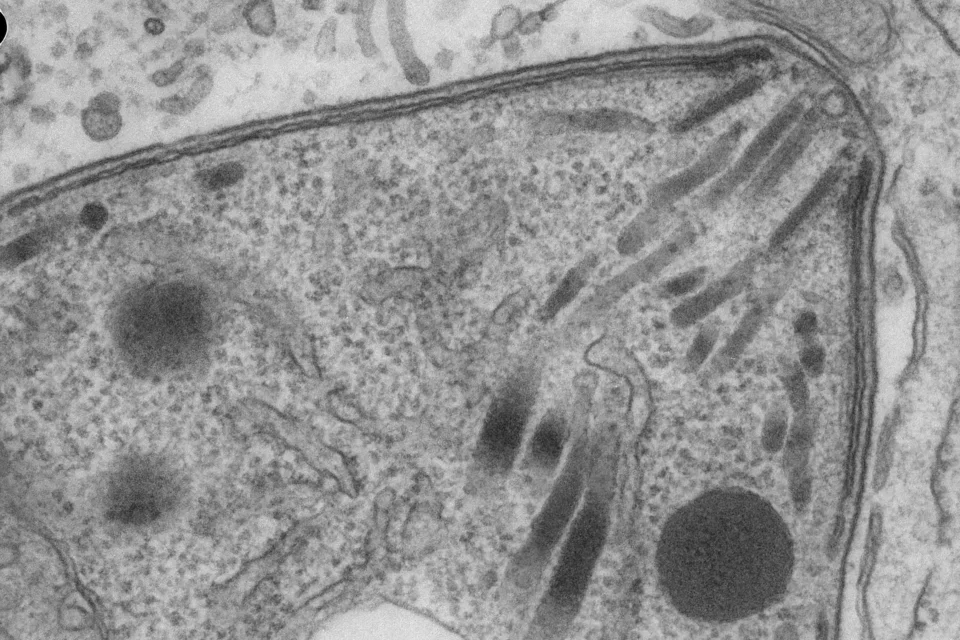
The Toxoplasma inner membrane complex (IMC) is a peripheral membrane and cytoskeletal system that underlies the parasite’s plasma membrane and plays important roles in invasion and daughter cell formation. We adopted proximity labeling (BioID) to T. gondii which dramatically expanded the IMC proteome and launched several ongoing projects including:
- Function of the apical cap portion of the organelle which serves to mount the conoid, which is essential for parasite invasion and egress.
- Identification of early daughter proteins and determining their roles in parasite replication.
- Characterization of proteins that localize to the sutures that delimit the alveolar membranes of the IMC
- Functional analyses of micropore proteins that enable endocytosis across the IMC sutures.


The roles of secretory “Effector” proteins in mediating host-pathogen interactions
Toxoplasma gondii utilizes two specialized secretory organelles named rhoptries and dense granules that mediate invasion and host pathogen interactions. Our proteomic and monoclonal antibody approaches identified a large number of proteins that mediate the acquisition of host nutrients, establishing a niche for intracellular survival, and hijacking host functions such as modulating innate immunity. Many of the precise roles of these effector remain unknown and are investigated in the laboratory.

Regulation of secretory traffic
The Toxoplasma parasite has a highly polarized secretory pathway that delivers cargo to the parasite’s apical secretory organelles, such as the micronemes and rhoptries. This cargo includes conserved and parasite-specific proteins that localize to the parasite's ER, Golgi and downstream vesicle trafficking pathways. In addition to studying these secretory pathways, we are also investigating an array of regulators of membrane trafficking within the parasite’s secretory pathway.

Utilizing unnatural amino acids for protein-protein interactions
We have developed the use of a photoreactive unnatural amino acid crosslinking system assessing protein-protein interactions in T. gondii. Current projects are employing this system to determine the precise binding interfaces of protein complexes in the IMC cytoskeleton as well as for protein complexes in other compartments in the parasite.
