Bradley Research Lab

Welcome to the Bradley Lab

Lab Overview

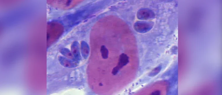
Our research focuses on the obligate intracellular parasite Toxoplasma gondii, which infects an estimated one third of the human population worldwide and virtually all warm-blooded animals. T. gondii is in the phylum Apicomplexa that causes severe central nervous system disorders of immunocompromised (AIDS/transplant/lymphoma) individuals and birth defects to congenitally infected neonates worldwide. In addition to being a globally important pathogen, Toxoplasma also serves as a model system for studying apicomplexan parasites which cause a number of diseases of medical and veterinary importance including Plasmodium falciparum, the causative agent of malaria which kills over 500,000 people each year. Apicomplexans enter host cells by the active process of invasion that is driven by the parasite’s actin-myosin motor and involves the regulated release of the parasite’s specialized secretory organelles (the rhoptries, micronemes and dense granules). Invasion is coupled to the rhoptry-mediated formation of the parasitophorous vacuole in which the parasite resides in the cytoplasm of its host.

Our Research

The research in the Bradley lab is focused on invasion, host-pathogen interaction, and replication in the intracellular protozoan parasite Toxoplasma gondii. In immune competent individuals, T. gondii is controlled by the immune system, and infections are typically mild or asymptomatic. The parasite establishes a chronic infection, however, which persists in various tissues in the body, including the brain, heart, and eye. The goal of our research is to elucidate the cellular and molecular mechanisms of T. gondii survival, enhancing our grasp of disease progression and aiding in the creation of improved anti-parasitic treatments.

The research in the laboratory is specifically focused on two major areas of Toxoplasma biology. First, we study a unique organelle named the inner membrane complex (IMC) and its role in host cell invasion as well as in endodyogeny, a replication process that occurs via internal budding. One of the critical functions of the IMC is to act as a scaffold for developing daughter cells during parasite replication. While the exact mechanism varies across the phylum, many apicomplexan parasites replicate using a unique process of internal budding in which two or more daughter buds are formed within the cytoplasm of a maternal parasite

Our second focus is determining how the parasite uses specialized secretory organelles named rhoptries and dense granules for invasion of host cells, hijacking host functions, and maintaining its intracellular niche. As these processes are necessary for the parasite to survive in its mammalian hosts, our studies provide important leads for the design of new therapies to combat apicomplexan infections. Specific signals have been identified for targeting to most of these compartments, as has some of the vesicle trafficking machinery. However, a detailed mechanistic understanding of vesicle sorting as well as the identification of many components of the trafficking machinery has yet to be completed.

Access Our Current Research Projects

News

December 13th, 2024: Sam and Vikram were each awarded $3000 from the Undergraduate Research Fellows Program (URFP). Woohoo!

November 20th, 2024: Juliette Uy got the 1st Place Best Talk Award at the 2024 Southern California Eukaryotic Pathogen Symposium (SCEP). Congrats!

July 18th, 2024: Rebecca's BCC0 paper was just published in PLOS Pathogens! Congratulations on your amazing work!!!

May 7th, 2024: Justin's TBC paper was accepted into PLOS Biology! Congratulations on your amazing work!!!

View All News